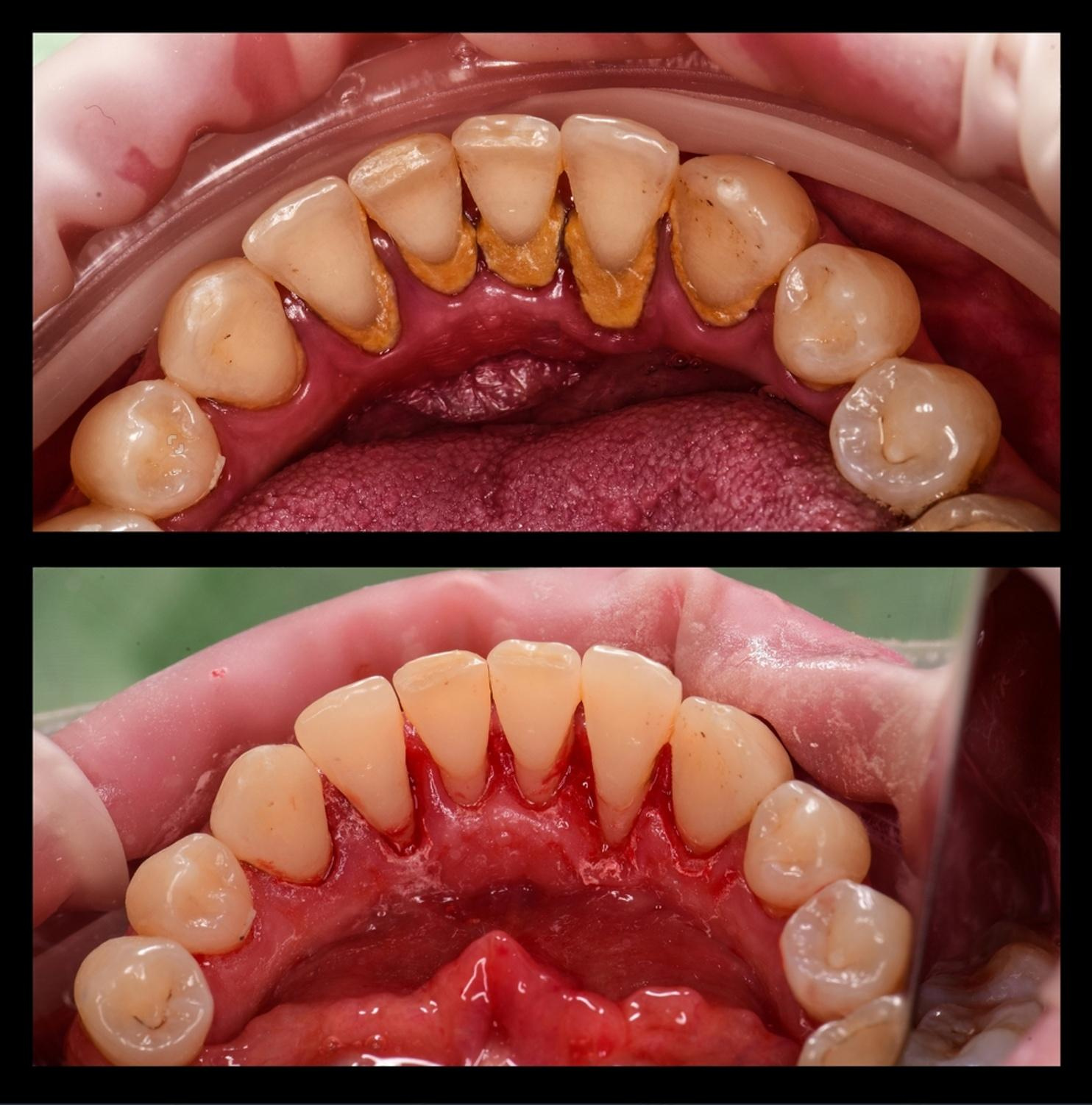
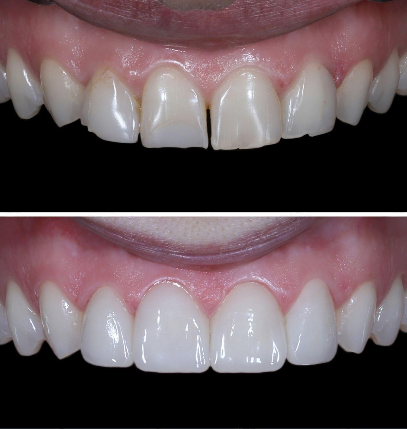
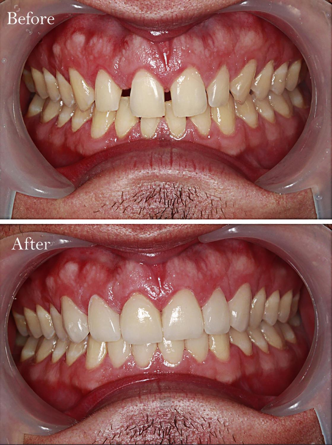
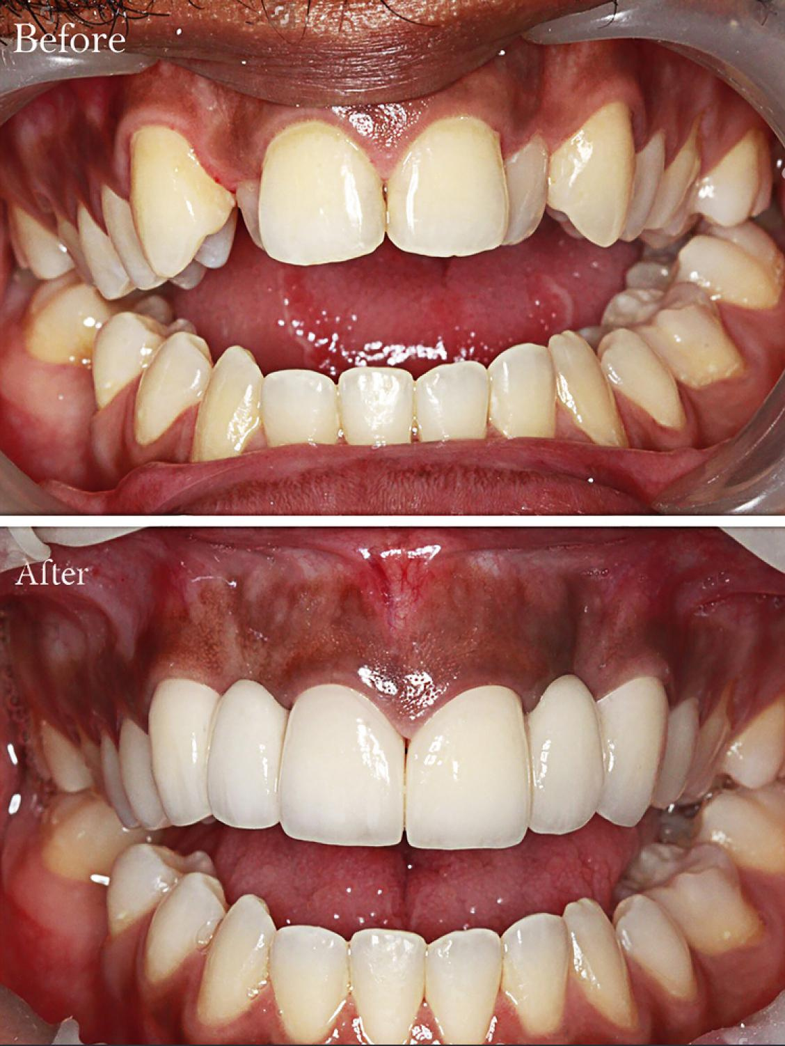
Real Results. Real Confidence.

At Al Rayashi Dental Center, we believe that every smile tells a story — and we’re proud to be part of so many incredible journeys. Our Smile Transformations page showcases real patients who have trusted us to restore their confidence and enhance their dental health.

From subtle refinements to dramatic changes, these before-and-after cases highlight the power of expert care and advanced dental technology.

Smile Transformations